2. FREBAS変換を利用した雑音除去画像ギャラリー
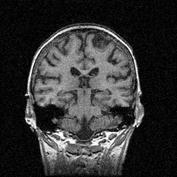
磁気共鳴画像(MRIで得られた画像)
雑音を付加した画像に対し,雑音処理を実施
雑音画像(SNR: 26.0 dB) FREBAS雑音除去像(SNR:
29.2 dB)

雑音画像(SNR: 26.0 dB) FREBAS雑音除去像(SNR:
30.1 dB)
一般画像

雑音画像(SNR: 26.0 dB) FREBAS雑音除去像(SNR:
30.1 dB)

雑音画像(SNR: 26.0 dB) FREBAS雑音除去像(SNR:
30.3 dB)